Atención odontológica personalizada al adulto y así como a los niños, previniendo, diagnosticando y tratando enfermedades bucodentales del paciente, realizando terapia de choque para un mejor resultado.
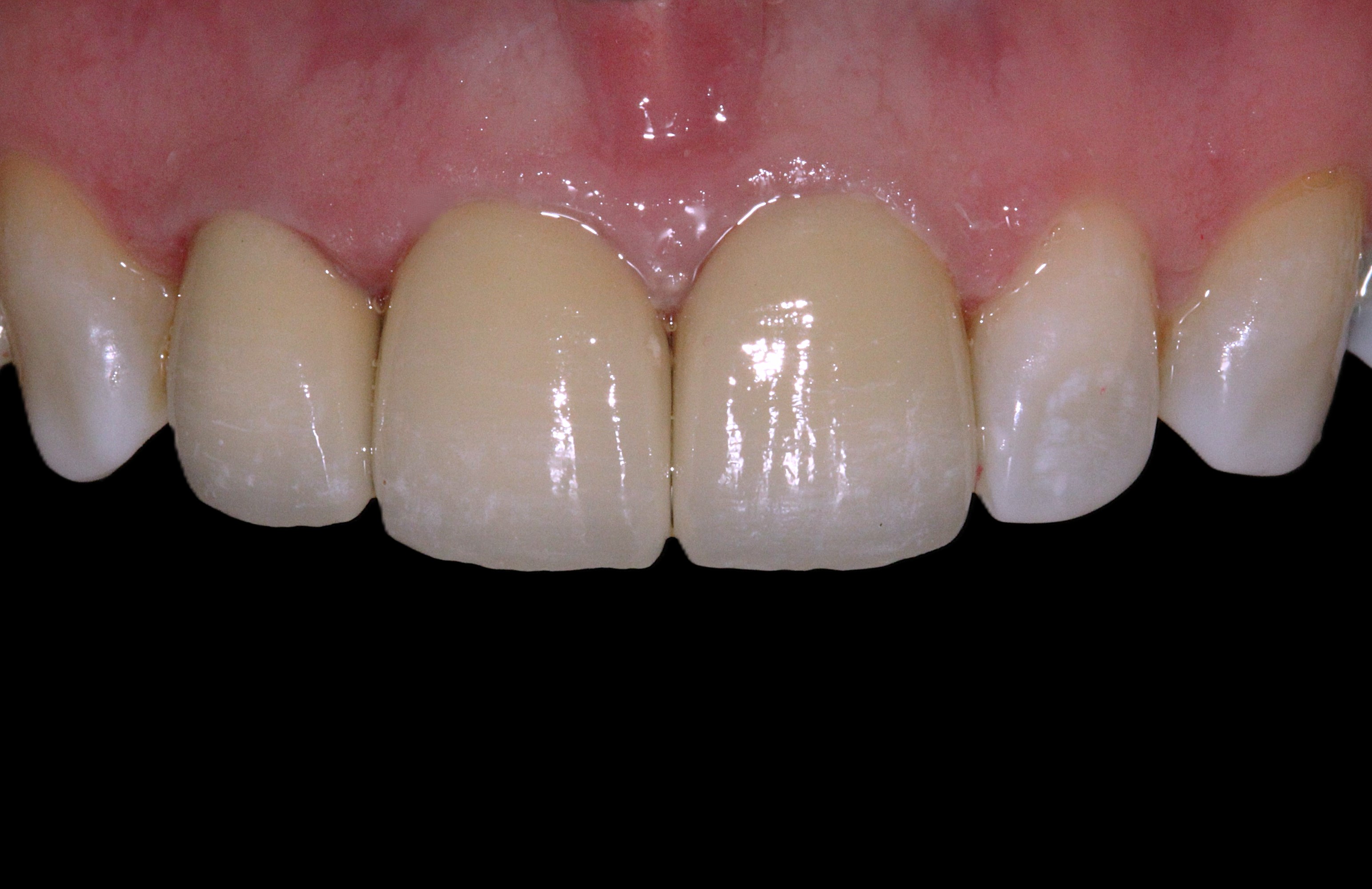
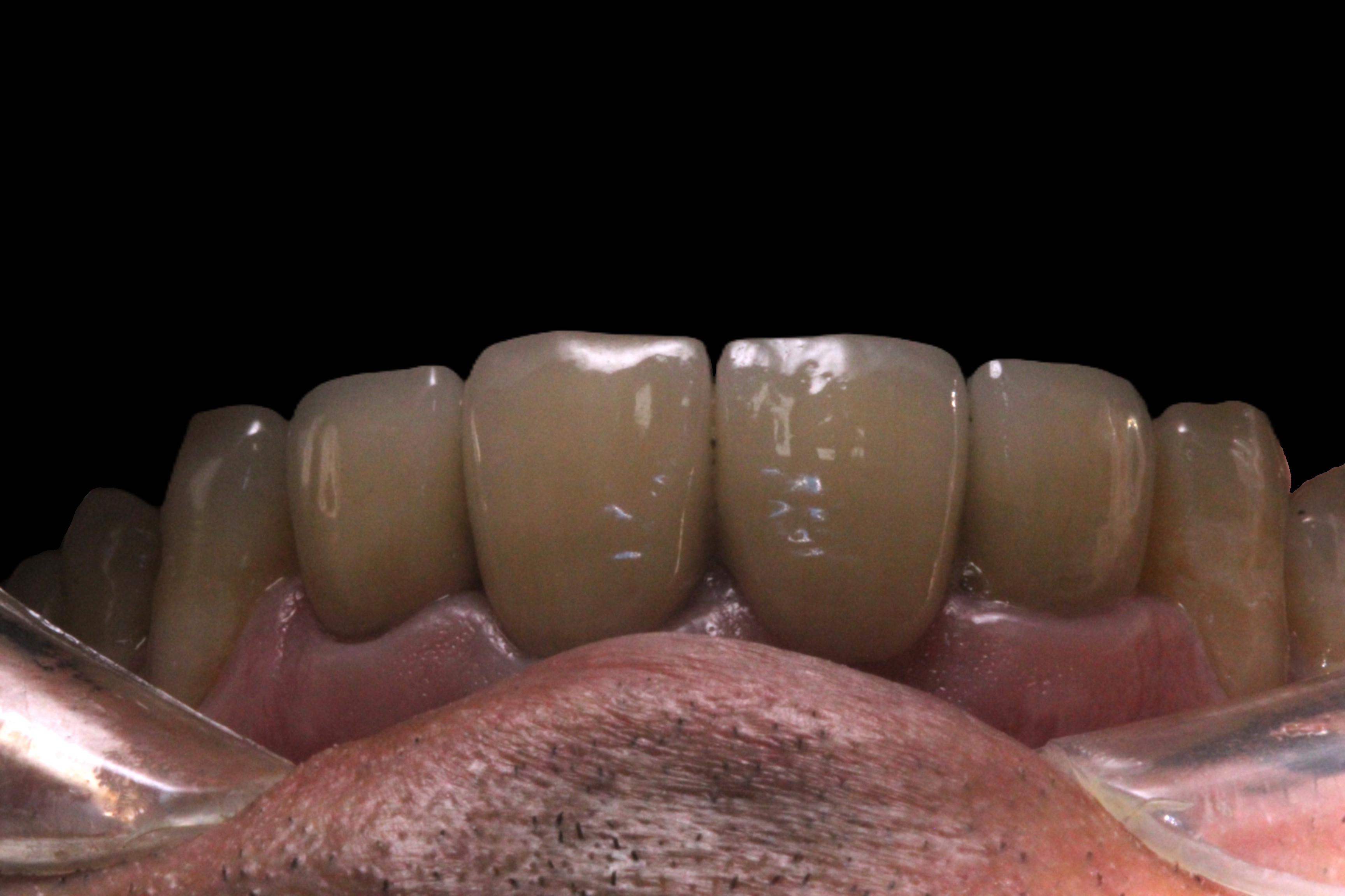
Todos podemos tener la sonrisa de nuestros sueños, uno de los tratamientos más rápidos para poder conseguir esa sonrisa, son las carillas dentales o resinas inyectadas, las cuales buscan agregar material a la parte vestibular del diente (parte lisa del diente que se ve cuando sonreímos) para modificar el color, la forma, la posición y poder mejorar la función estética y fonación.
Durante el crecimiento, la anatomía de la boca de los niños varía mucho, desde la erupción de los dientes de leche hasta el recambio por los dientes definitivos, se dan muchas alteraciones en la morfología bucodental. El dentista infantil puede prevenir o dar tratamiento temprano a cualquier afección bucodental que pueda aparecer en los dientes y maxilares de bebés y niños.
Recuperar tu sonrisa natural es posible gracias a los implantes dentales, estos son aditamentos de titanio que se colocan dentro del hueso. Su función es simular la raíz de un diente ausente. Posteriormente, por medio de algunos componentes, el implante se “conecta” a una corona o prótesis, es decir, la parte visible que tiene forma de diente.
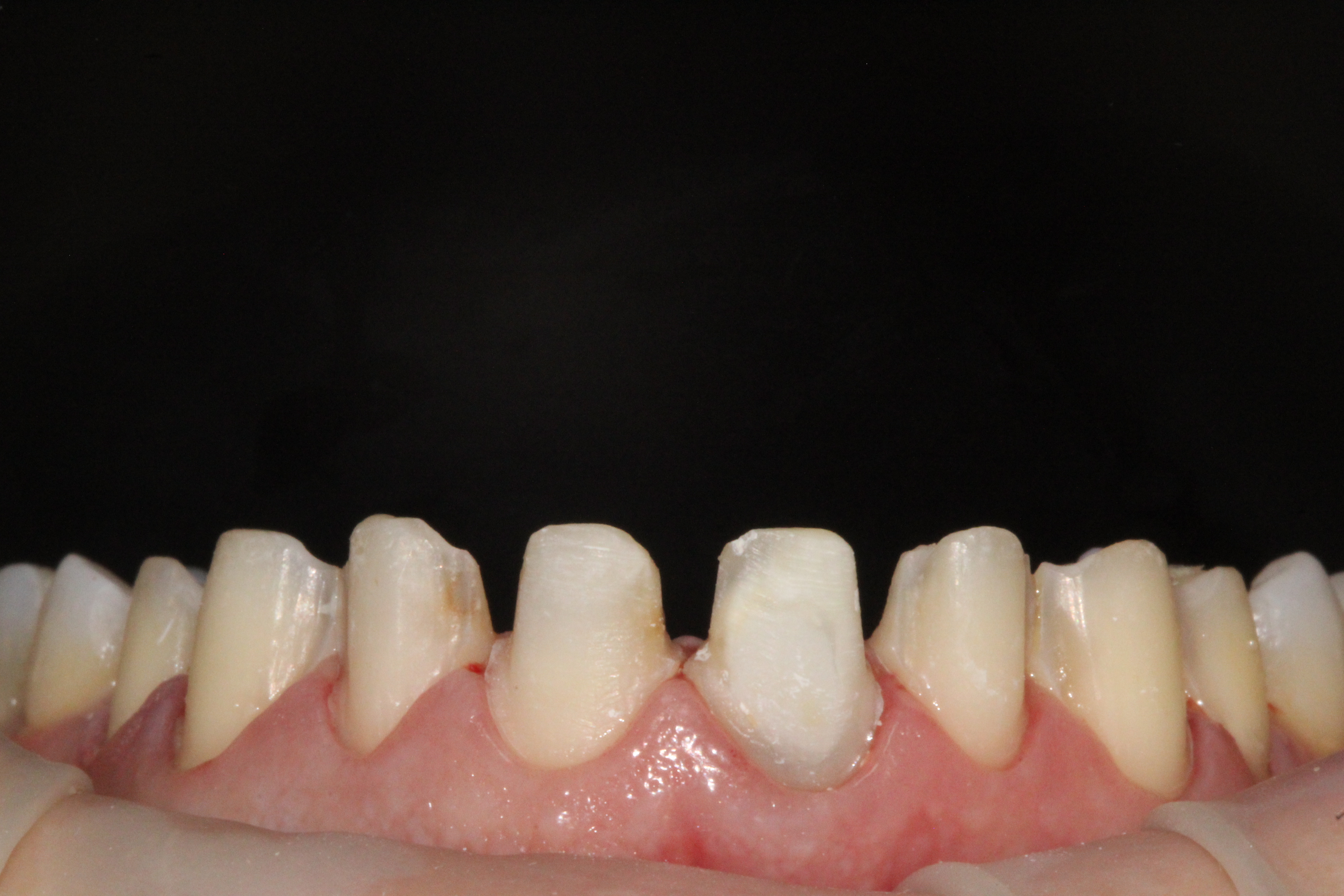
El objetivo principal de la endodoncia es salvar el diente afectado. Se realiza eliminando la pulpa dañada, limpiando y desinfectando el conducto radicular, y finalmente sellándolo para prevenir futuras infecciones. De esta manera, se mantiene la funcionalidad del diente sin necesidad de extraerlo.
Ced. Prof. 12179392
Cirujana Dentista
Diplomado en endodoncia
Ced. Prof. 11640457
Cirujana Dentista
Diplomado en prótesis fija, removible y oclusión
Diplomado en periodoncia
Ced. Prof. 12325761
Cirujana Dentista
Especialista en Ortodoncia y Ortopedia Maxilar
Ced. Prof. 12085060
Cirujano Dentista
Especialista en Rehabilitación Oral
Ced. Prof. 09627031
Cirujano Dentista
Especialista en Rehabilitación e Implantes
Diplomado en Implantología Avanzada
Diplomado en Periodontología
Ced. Prof. 12303380
Especialista en Cirugía Oral y Maxilofacial
Ced. Prof. 4771575
Cirujano Dentista
Especilista en Ortodoncia y Ortopedia Maxilar
Sábado: 10:30 am a 2:00 pm
